【牛皮癣】中西医五维净血祛癣疗法 顽固性牛皮癣的终结者
太原肤康中医皮肤病医院微信公众号 tyfkpfbyy 点击复制
【导读】牛皮癣是一种常见的皮肤病,发病率较高,且损害大,严重影响人们的日常生活和工作;很多牛皮癣患者常常由于自身大意或治疗不当,使得牛皮癣有机可乘,较终导致了重症牛皮癣,以及顽固性牛皮癣。
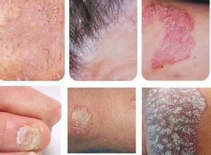
牛皮癣症状图片
顽固型牛皮癣犹如牛皮糖一样难缠
究其牛皮癣不易治疗,反作的原因是很复杂的:精神的焦虑、社会因素导致的不治疗、滥治疗甚至治疗不全面。结果出现没有针对病情正确用药,导致牛皮癣病情加重的现象,患者病情难以控制,皮肤表面皮损严重,给患者本人带来了极大的痛苦。>>>牛皮癣得了3年了,还能治好吗?点击咨询
顽固性牛皮癣终结者--中西医五维净血祛癣疗法
太原肤康中医皮肤病医院医生指出,传统方法治疗牛皮癣,几乎都是通过对皮肤进行表面消炎处理,没有根据疾病类型对症治疗,所以造成疾病治疗不全面、反作的问题。而太原肤康中医皮肤病医院自主研发的“中西医五维净血祛癣疗法”,就从根本上解决了这些传统疗法弊端。该疗法首先通过十大权威检测技术确定病情,并结合专业设备和医生的诊断、分型之后,根据患者不同病型进行不同治疗方案,采取具体问题具体分析治疗方式,给患者施行较佳治疗措施。
中西医五维净血祛癣疗法 三步驱除牛皮癣
“中西医五维净血祛癣疗法”通过三个步骤进行平衡阴阳,调整气血,疏通经络,扶正祛邪,重新达到抑制和加强两大系统的动态平衡,维持正常的新陈代谢。通过调节免疫系统的紊乱状态,抑制T细胞的异常活化,稳定细胞膜,消除超抗原对免疫系统的影响,使皮损消退,恢复皮肤正常的光泽和活力。
1、抑制牛皮“癣易感基因”活化。 “中西医五维净血祛癣疗法”由于内外致病因素通过体内体外的表面进入体循环,然后通过细胞外基质直接作用于易感基因,对易感基因进行刺激,激活易感基因,促使其表达,调整气血,疏通经络,扶正祛邪, 重新达到抑制和加强两大系统的动态平衡,维持正常的新陈代谢。
“中西医五维净血祛癣疗法“有效抑制易感基因的表达,稳定易活化的易感基因,能够在病源处起到阻断疾病发生的治疗作用。
2、促使机体免疫系统恢复正常。对于已经被激活的易感基因,活化后会产生T细胞,T细胞活化是牛皮癣发病的关键环节。
“中西医五维净血祛癣疗法“在此阶段主要抑制T细胞的病理性活化,并将已活化的T细胞消灭,稳定细胞膜,减少T细胞再次作用到下一环节,并激活受损细胞,消除超抗原对免疫系统的影响,促使机体免疫系统恢复正常,提高机体免疫力。
3、恢复皮肤正常代谢功能。机体的免疫系统恢复正常之后,T细胞有病理性活化变成保护性活化,从而有效的防止皮肤角质形成细胞的过度增殖,修复受损细胞,消除皮损鳞屑和瘙痒的症状,恢复皮肤正常的代谢功能。
同时在关键节点进行干预,较大限度利用机体自身的调控机制和能力,扶持和加强这种作用,避免长期大量用药和过度治疗对机体的伤害和不良影响。
临床报告:数例改善患者 见证显著疗效
据统计,在过去一年中,“中西医五维净血祛癣疗法”已为逾10000名患者解除了牛皮癣的困扰,是截止到目前为止,为数不多的备受患者信赖的疗法之一。据太原肤康中医皮肤病医院对本院患者跟踪回访显示,截止到目前为止,由该疗法治疗的患者,率为0!
1、治疗期7-30天:患处疼痛、瘙痒的症状明显减轻。皮肤变得舒缓,不再紧绷。体内病变细胞得到清除,皮肤逐渐变得平滑、有弹性,银屑逐渐减少,皮疹逐渐消失,皮损明显好转。银屑明显消退,粗糙干裂得到控制,逐渐减轻,皮肤显现红润色泽,皮肤恢复50%。
2、恢复期40-90天:患处皮肤的颜色开始由深变浅,牛皮癣部分粘合紧密的鳞屑脱落,皮肤紧绷感消失。慢性湿疹神经性皮炎症减轻,钱币状、地图状点滴状、环状等各类寻常型牛皮癣, 在此阶段基本可达到痊愈。中轻度患者完全改善,重症患者可恢复到70%--80%。
3、巩固期90-120天:重度牛皮癣患处鳞屑成片成块脱落,临床证明75%的患者鳞屑可完全脱落,色泽色素全面消退。红皮型、脓胞型、关节型牛皮癣在此阶段完全治疗,皮损部位颜色和功 能完全恢复正常,肌肤变得濡润光泽且富有弹性,与正常人无异。皮肤恢复到正常状态,皮肤光滑如新,达到了痊愈的效果,再现完美健康的肌肤。
“中西医五维净血祛癣疗法”治疗牛皮癣经万余例临床实践表明,用药1个疗程见效,2-3个疗程见好并逐渐达到治疗的效果。有效治疗率高达98.5%以上,特别是对于顽固性患者有优越之处!

长按二维码,扫描关注肤康公众号tyfkpfbyy
太原肤康中医皮肤病医院 您的皮肤健康顾问
