
扁平疣是由乳头状瘤病毒感染引起的,并且具有传染性,不仅仅是给患者自身带来心理和身体上的伤害,也给家人、朋友的健康也带来隐患。在此太原肤康中医皮肤病医院皮肤科医生提醒:治疗扁平疣刻不容缓。
诱发扁平疣的因素你真的都知道?
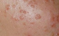
Flat wart cause
不得不了解的扁平疣各大症状!
Flat wart of common symptoms
-
形态规则
扁平疣一般为针头至米粒大或稍大的扁平丘疹,呈圆形或不规则形,略高于皮肤表面,也可显着地突起而形成圆顶状
-
传染性
扁平疣具有传染性,疣体在患处进行扩张当患者有意无意地搔抓患处,结果发现疣体越来越多,甚至沿抓痕呈串珠状排列或密集成片。
-
症状表现
扁平疣症状表面光滑,境界清楚,触之较硬,为浅褐或灰白、淡黄或正常皮色分散分布、质地柔软、顶部光滑
-
疣体增多
医生还表示,当局部被搔抓时,扁平疣疣体表面和正常皮肤可产生轻微的破损,这时病毒很容易被接种到正常皮肤上而产生新的疣体。
扁平疣久拖不治当心蔓延全身
Flat wart is known to harm you?
有碍美观,影响交际
工作机会被限制
交叉感染祸及家人 朋友
病毒感染,危害身体健康
究竟是什么阻挡了你的改善之路?
What is preventing you from the road to rehabilitation?
-
临床医生仅凭经验通过问诊和用眼看来判断患者是否是扁平疣,诊断方式缺乏正规性,经常有误诊、漏诊的情况发生。
-
传统的皮肤检测仪只能给出一个大概的数据,并不能让医生准确得出结论,给予患者准确的治疗方式。
-
生活中有些患者会自行服药治疗,但是药物缺乏针对性,只是促进患处的血液循环,初见效果可是不久后有反复,并且造成患者对药物的依赖性。
-
仅仅单靠仪器治疗,只是治疗肌肤表面,而扁平疣疣体毒素没有去掉,会导致病情二次反复。
虽然扁平疣不痛不痒,且疣体较小,但久拖不治会造成疣体大面积的扩散,直至扩散至全身。扁平疣是病毒感染类皮肤病,扁平疣存在亚临床感染,清除表皮疣体后,病毒依然存在真皮层,只有将其消灭才能避免疣体重新发作。
疣体渗透疗法 祛疣不留痕!
Fast trace zero recurrence
太原肤康中医皮肤病医院疗法"疣体渗透疗法"是由我院医生组经过多年研创而成, 是一种联合应用5-氨基酮戊酸及相应光源, 通过光动力学反应选择性破坏病变组织的全新技术。
光动力检测分析准确定位, 然后利用皮肤组织的生长特性愈合瘢痕。治疗过程简单,治疗快速,不打麻药, 不出血,改善后的肌肤光洁如初,
只需三步,让您轻松无"疣"
Only three steps, let you easily without "wart"
-
太原肤康中医皮肤病医院准确诊断分析病毒。通过先进的基因芯片病毒检测系统精确的诊断致病微生物和类型和各种病毒,引导后续的精确杀灭,为全面治疗扁平疣提供了正规的诊断依据。。
-
选择杀灭病毒靶目标不伤组织。治疗在光动力检测分析的基础上严格精确进行,只对符合病毒特性的耙组织进行杀灭和破坏,。这样不但全面杀灭病毒而且利于机体恢复,保证了治疗效果。
-
疣体渗透疗法,较后采用药物,修复受损的细胞,促进正常细胞生长,使胶原纤维以线性方式排列,防止结缔组织异常增生,更新替代衰老细胞,恢复皮肤正常代谢,使皮肤恢复正常状态。
疣体渗透疗法的四大优势
Four advantages of PDT combined therapy, Ella

治疗扁平疣过程图,看得到的疗效!
-
脸上布满丘疹
丘疹布满了大大小小的丘疹,还有点微痒,挠破的发现会很快出现一样的丘疹
-
疣体明显减少
感觉脸上的丘疹明显减少了很多,而且也没什么疤痕
-
皮肤恢复光洁
脸上的丘疹都没了,脸上也光滑了好多
好医生才能更好的保障疗效!
FuKang expert recommended treatment of verruca plana
用事实见证疗效!
The success of Quyou people have the right to speak!

-
01 终于找到喜欢的工作
我的扁平疣不仅好了,工作也落实,心里踏实很多,感谢肤康皮肤病医院的医生治好了我的扁平疣。
点击体验治疗扁平疣效果

-
02 人变得更自信了
不激光、不抹药,十天左右疣体真的没有了。这治疗技术还真的不错,我再也不自卑了。
点击体验治疗扁平疣效果

-
03 无疣心里不再害怕
那个疣体渗透疗法好神奇。仅仅两周左右的时间,疣体就自行脱落了。太感谢肤康皮肤病医院了,现在我的心里踏实很多。
点击体验治疗扁平疣效果

-
04 心情变得无限晴朗
扁平疣一天天好起来,我又开始有了信心。现在已停止治疗三个月了,我的扁平疣没有再反复在,真的要感谢肤康皮肤病医院...
点击体验治疗扁平疣效果
您的改善是我们较大的心愿!
Your rehabilitation so that our biggest wish!

太原肤康 专业治疗扁平疣
TaiYuan FuKang professional treatment of flat wart
-
正规医疗机构 专业治疗皮肤疾病
太原肤康中医皮肤病医院,是由经过卫生部门依法审批成立,并与中华医学会、中国医师协会紧密结合,重点皮肤病医院。
-
专业医生 亲自坐诊
太原肤康中医皮肤病医院有以李正彬、田艳伟为首的一批优秀皮肤科医生。
-
专业设备 准确病因
太原肤康中医皮肤病医院通过专业设备,对患者的皮肤进行皮肤病理分析和微量元素检测,准确致病因素,为治疗扁平疣提供正规依据。
-
专业技术 疗效保障
太原肤康中医皮肤病医院"疣体渗透疗法"系列疗法,融合中西医治疗精华,由内养外,深入肌肤基底层,深层去除疣体,恢复光洁肌肤,防止反复。
-
费用合理 严格杜绝乱收
太原肤康中医皮肤病医院严格按照国家物价部门标准收费,医院不仅是诚信示范单位,更是平价消费单位。
自助挂号平台


























